Áreas
PATOLOGÍA MAMARIA.
Tenemos una experiencia extensiva que interpreta todos los tipos de muestras de mama, incluidos los especímenes de patología quirúrgica, las biopsias y las aspiraciones de aguja fina. Estudiamos casos que varían desde las fases más tempranas de la enfermedad, al cáncer en su etapa más avanzada.
El laboratorio de inmuno-histoquímica proporciona el análisis de expresión de Receptores hormonales, Her2 neu, índice de proliferación y otros marcadores.
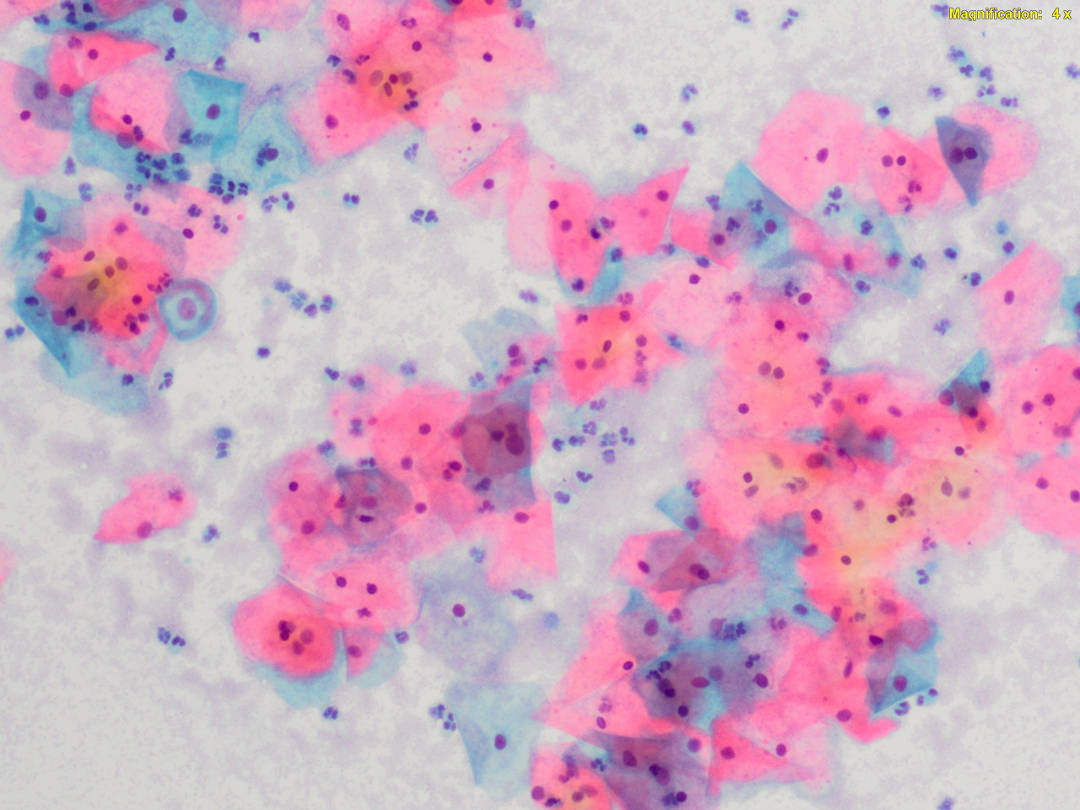
CITOPATOLOGÍA.
Entre las muestras ginecológicas, la prueba de Papanicolau, detecta lesiones cervicales precancerosas para prevenir el cáncer cervical.
Especímenes no-ginecológicos procesados por nuestro laboratorio, incluyen muestras de citología exfoliativa, derrames, fluidos cerebroespinales, orinas y bronco-alveolares, así como punciones con aguja fina (PAAF) de cualquier origen (mama, tiroides, páncreas u otro).
DERMATOPATOLOGÍA.
La dermatopatología se centra en el estudio de transtornos cutáneos a nivel microscópico. Los dermatopatólogos diagnóstican y evalúan las muestras de biopsia obtenida de la piel, uñas y las membranas mucosas, con mas de 1.500 enfermedades de la piel en existencia.
PATOLOGÍA GINECOLÓGICA Y OBSTÉTRICA.
Nuestros patólogos tienen un conocimiento en profundidad de las enfermedades del tracto genital femenino, desde vulva, vagina, cervix, útero, trompas de falopio a ovario y enfatizan las correlaciones clínico-patológicas.
PATOLOGÍA GASTROINTESTINAL, HEPÁTICA Y PANCREÁTICA.
Nuestros patólogos expertos en patología gastrointestinal evalúan todas las biopsias para garantizar un diagnóstico certero. Ayudamos a nuestros médicos con diagnósticos para condiciones como la enfermedad inflamatoria intestinal, enfermedad celíaca y tumores benignos o malignos.
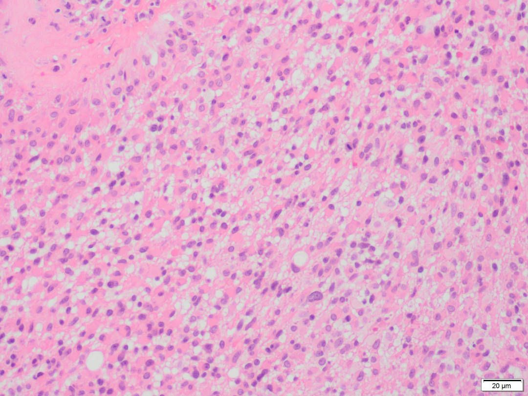
PATOLOGÍA QUIRÚRGICA.
En patología quirúrgica proporcionamos servicios de diagnósticos para todos los especímenes de tejidos (biopsias y resecciones) de cualquier origen. Nuestra experiencia en una amplia gama de patologías neoplásicas y no neoplásicas, nos permite entregar información completa de diagnóstico, pronóstico y predictivo a nuestros colegas médicos y sus pacientes.
PATOLOGÍA genitourinaria.
La experiencia y competencia del servicio abarca todas las áreas de la patología genitourinaria, incluidas las enfermedades de la próstata, vejiga, uréteres, uretra y testes, así como la patología neoplásica y no neoplásica de los riñones.
PATOLOGÍA osea y de tejidos blandos.
Diagnosticamos las neoplasias y otras condiciones patológicas que afectan al sistema músculo-esquelético, tejidos extraesqueléticos no epiteliales y tejidos blandos.
NEUROPATOLOGÍA.
Nuestros especímenes quirúrgicos incluyen las biopsias de pacientes con neoplasias del sistema nervioso central y periférico, enfermedades infecciosas, inflamatorias y degenerativas.
PATOLOGÍA de cabeza y cuello.
Estudiamos las lesiones mucosas y mesenquimales del tracto aero-digestivo superior (cavidad nasal, senos paranasales, orofaringeos y nasofaringeos, cavidad oral y glándulas salivares), así como lesiones de los ojos, la órbita y otros sitios.
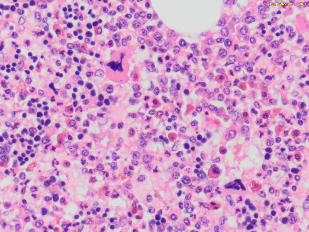
HematoPATOLOGíA.
La hematopatología realiza pruebas para ayudar a diagnosticar y tratar enfermedades neoplásicas y no neoplásicas de la sangre, la médula ósea y el sistema linfático.
LABORATORIO DE INMUNOHISTOQUÍMICA.
El laboratorio de inmuno-histoquímica realiza tinciones para múltiples marcadores que cubren varios propósitos, incluidos la identificación y clasificación de los neoplasmas. Para ello, se procede determinando el perfil receptor de las células cancerígenas y otras anormalidades de la señalización de dichas células que representan objetivos para la terapia
PATOLOGÍA MOLECULAR
La Patología Molecular es una disciplina cuyo objetivo es el estudio y diagnóstico de una enfermedad examinando moléculas en muestras biológicas precedentes de órganos, tejidos o fluidos corporales. Las pruebas moleculares de última generación son cada vez más importantes para el pronóstico y las predicciones del posible comportamiento de la enfermedad, lo que permite determinar cuál es el mejor enfoque y respuestas terapéutica.
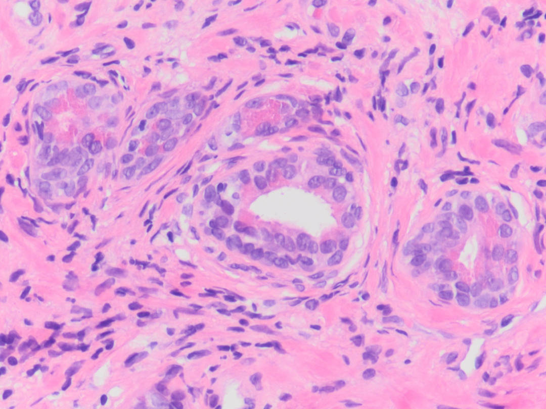
PATOLOGÍA ENDOCRINA.
Nuestro objetivo principal es hacer que nuestro servicio sea excelente y este disponible para pacientes con alteraciones benignas o malignas de las glándulas endocrinas, y poder así apoyar proactivamente a cirujanos, endocrinólogos y oncólogos en el cuidado de sus pacientes.
PATOLOGíA oral y maxilo-facial.
En esta área se realizan evaluaciones diagnósticas de muestras de las regiones oral y maxilo-facial que incluyen huesos y tejidos blandos de pacientes adultos y pediátricos.
PATOLOGÍA PEDIÁTRICA Y PERINATAL.
Nos centramos en el estudio de la placenta, feto y neonato, con énfasis en el reconocimiento de anomalías congénitas, infecciones y otras condiciones materno / fetales que pueden conducir a resultados perinatales como parto prematuro, restricción intrauterina del crecimiento o pérdida del embarazo. Disponemos de patólogos experimentados en el diagnóstico de enfermedades pediátricas neoplásicas y no neoplásicas.
PATOLOGÍA pulmonar
Ofrecemos un servicio de diagnóstico integral que cubre todos los aspectos de la patología pulmonar, desde enfermedades neoplásicas y no neoplásicas, hasta las de la pleura y mediastino. Nuestros patológos emplean la gama completa de técnicas básicas y especializadas, para evaluar las biopsias y las resecciones de pulmones, pleura, timo y otras muestras de mediastino.




















